Orthodontic Case Studies – Longmont Braces

Below are actual braces or Invisalign orthodontics patients treated by Dr. Stephanie Ross.

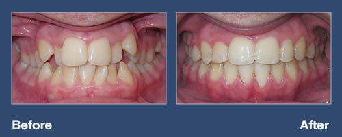
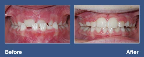
Crowding of the teeth

Patient started orthodontic treatment at age fourteen and wore traditional braces for 24 months. He loves his new smile!


Openbite: Front teeth don’t touch

Patient sucked his fingers as a young child. He started treatment at age 12. He wore braces and did a great job wearing elastics! Now he can easily bite into a slice of pizza!


Deep overbite: Lower front teeth bite into palate

Patient began treatment at age 14 and wore braces for 15 months. His lower teeth are no longer biting into the roof of his mouth…a much healthier (and more comfortable) bite.


Underbite: Lower front teeth in front of upper teeth

Patient’s underbite was causing his teeth to wear down inappropriately. He started treatment at age 13 and wore braces for 18 months. He now finds smiling and chewing much easier!


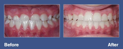
Spacing of teeth

Because of the spacing, this patient’s teeth did not fit together properly. After 20 months of treatment, the spaces were closed, the bite fit well, and he had a beautiful smile!


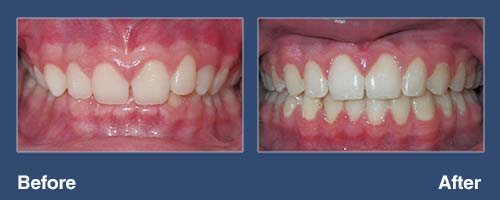
Overbite: Protruding front teeth

At age twelve, patient had a big overbite with the top teeth protruding beyond the bottom. After 24 months in braces, she was proudly displaying her new smile.


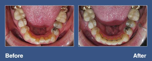
Invisalign

Often times patients do not want to wear conventional braces. Invisalign (or clear aligner therapy) can be used to correct many problems and create a beautiful smile. This patient was bothered by her crowded lower front teeth. Invisalign was used to align the teeth in 6 months.


Phase-One

Patient’s parents were concerned about the underbite and the health of the erupting permanent teeth. After After 15 months of Phase-One treatment with an expander, partial braces, and a facemask, the patient’s appearance and dental function were vastly improved.